Why You Need Regular Dental Check-Ups in Manchester
Dental check-up costs might appear avoidable — particularly if you’re not experiencing problems with your teeth or gums right now. But they could be dwarved by the cost of extensive treatments if hidden problems go undetected.
That’s why check-ups make sense — for both your wellbeing and your wallet.
With regular check-ups at our state-of-the-art dental practice in Altrincham, Greater Manchester, we’ll be able to spot the tell-tale signs of early-onset tooth decay, gum disease and more serious problems such as mouth cancer.
Whether you’re pain-free or suffering with chronic toothache, attending regular check-up appointments at Re-Ignite Dental is a good way to protect your dental health.
Book an assessment at our Hale dental surgery online, or call us on 03332 008672 to speak with one of our dental professionals.
What Happens During Dental Check-Ups?
When you book a check-up with Re-Ignite Dental, you’re guaranteed professional advice designed to prevent future dental issues or protect work already done on your teeth.
Our dentists and dental hygienists will also show you ways to prevent gum disease and other serious issues. This often involves the demonstration of best-practice toothbrushing.
While dental check-ups can differ, depending on what your dentist discovers, they tend to include the following steps.
Examination of Your Teeth: Dentists carefully examine your teeth to check for signs of decay, cavities or damage. They assess the condition of each tooth individually to spot the tell-tale signs of common problems.
Examination of Your Gums: Your dentist will inspect your gums for signs of gum disease (gingivitis or periodontitis). The signs of this potentially serious ailment include redness, swelling, bleeding and pockets between the teeth and gums.
Oral Cancer Screening: Dentists may perform an oral cancer screening by examining the soft tissues in your mouth, including your tongue, cheeks and the roof of your mouth.
Cleaning and Scaling: Your dentist or dental hygienist may perform a thorough cleaning of your teeth to remove plaque and tartar. They may also perform scaling to remove calculus deposits from below the gumline.
Restoration Work: If your dentist notices damage, you will be booked in for further treatments, including fillings and composite bonding to address damaged areas.
Discussion: Your dentist will also discuss effective oral hygiene practices, including brushing, flossing and your diet. There will also be an opportunity to ask questions about future treatments or your overall dental health.
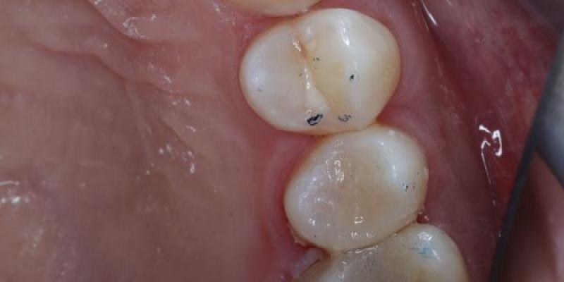
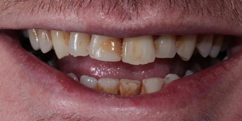
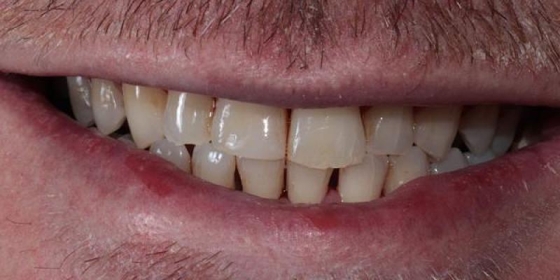
Recent Dental Checkups work
We spot lots of issues during check-ups that would otherwise go unnoticed — and untreated. But when we do spot potential problems, we work swiftly to rectify them.




Happy Customers
Our dental check-ups in Manchester have already saved hundreds of patients from potentially serious problems.
Book a Dentist Check-Up in Manchester Today
Every second your dental problems go undiagnosed is another second closer to debilitating toothache or serious dental problems. Book an assessment at Re-Ignite Dental, Altrincham