General dentistry focuses on protecting and maintaining your long-term oral health. At Re-Ignite Dental in Hale, our team provides preventive, restorative and emergency dental care designed to keep your teeth and gums healthy throughout every stage of life.
Whether you need a routine dental check-up, treatment for tooth pain or help managing gum health, we take a calm and personalised approach to every appointment.


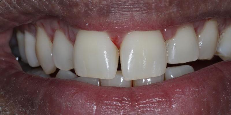
Explore some of the smile transformations completed for patients visiting us from Hale, Manchester, Bowdon, Altrincham and Timperley.
Regular dental hygiene is essential for maintaining healthy teeth, gums and overall oral health. A build-up of plaque and tartar can lead to gum disease, decay and bad breath. We offer thorough hygiene treatments to remove stubborn deposits and help keep your smile fresh and healthy for years to come.

A root canal is often the best way to save a tooth that has become severely decayed or infected. Common symptoms include persistent pain, sensitivity to hot or cold and swelling around the affected area. We offer expert root canal treatments to remove the infection, relieve discomfort and preserve your natural tooth.

If you are looking for a dentist in Hale for routine care, treatment for dental problems or advice about your oral health, our team at Re-Ignite Dental will guide you through your options with clear explanations and personalised care.